İçeriğe geç
Nükleer Tıp Uzmanı – Akademisyen Dr. Fatih BATI

Nükleer Tıp Uzmanı – Akademisyen Dr. Fatih BATI

Bilime Kulak Verin

  • Anasayfa
  • Haber
  • Hekim
  • TIP
  • TUS
  • Bilim
  • Kovid-19
  • Sosyal
  • Gündem
  • Video

Kategori: Kovid-19

Kovid-19

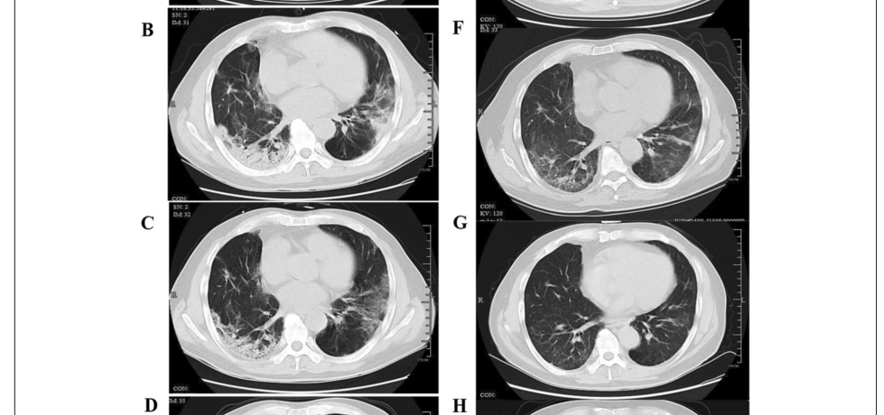
SARS-CoV-2 enfeksiyonu sonrası hastalarda Akciğer BT bulgularının bir yıllık takip sonuçları

Nükleer Tıp Uzmanı tarafından12 Ağustos 202112 Ağustos 2021
Okumaya devam edin
  • Kalbimizin Gizli Düşmanı: Kardiyak Sarkoidoz Teşhisindeki 5 Şaşırtıcı Gerçek
  • Ülkelere göre Doktora Şiddet Oranları
  • Türk Beyin Cerrahından Uluslararası Başarı
  • SARS-CoV-2 enfeksiyonu sonrası hastalarda Akciğer BT bulgularının bir yıllık takip sonuçları
  • Almanya’da Çalışan Türk Araştırmacı Yaşlanmanın Şifrelerinden Birini Çözdü

Popüler Yazılar & Sayfalar

  • Ülkelere göre Doktora Şiddet Oranları
    Ülkelere göre Doktora Şiddet Oranları
  • Türkiye'de Tıp Fakülteleri; Nicelik ve Nitelik
    Türkiye'de Tıp Fakülteleri; Nicelik ve Nitelik

Nükleer Tıp Uzmanı – Akademisyen Dr. Fatih BATI

Bilime Kulak Verin

  • Facebook
  • Twitter
  • Instagram
  • Pinterest
  • WordPress
WordPress.com'da Blog Oluşturun.
  • Abone Ol Abone olunmuş
    • Nükleer Tıp Uzmanı - Akademisyen Dr. Fatih BATI
    • WordPress.com hesabınız var mı? Şimdi oturum açın.
    • Nükleer Tıp Uzmanı - Akademisyen Dr. Fatih BATI
    • Abone Ol Abone olunmuş
    • Kaydolun
    • Giriş
    • Bu içeriği rapor et
    • Siteyi Okuyucu'da görüntüle
    • Abonelikleri Yönet
    • Bu şeridi gizle