COVID-19’un 1 yıllık sonucu hakkında bilgi sınırlıdır. Bu çalışmanın amacı, hastaneden taburcu olduktan sonra COVID-19’lu hastalarda seri bilgisayarlı tomografi (BT) taramalarında akciğer anormalliklerini takip etmek ve değerlendirmektir.
Yöntem
Zhejiang Üniversitesi Tıp Fakültesi’nde COVID-19’lu hastalar üzerinde, hastaneye yatış sırasında ve hastaneden 2 hafta, 1 ay, 3 ay, 6 ay ve 1 yıl sonra akciğer BT’sinin değerlendirilmesi ile prospektif bir kohort çalışması yapılmıştır. Rezidüel BT opasitelerinin risk faktörleri ve rezidüel BT anormalliklerinin 1 yılda pulmoner fonksiyonlar üzerindeki etkisi de değerlendirildi.
Sonuç
Bu çalışmada toplam 41 hasta takip edildi. Hastaneden taburcu olduktan sonra kademeli iyileşme, seri BT skorları ile doğrulandı. Hastaların yaklaşık %47’si taburcu olduktan 1 yıl sonra medyan BT skoru 0 (çeyrekler arası aralık (IQR) 0–2) ile pulmoner BT’de rezidüel aberasyon gösterdi ve başlıca retiküler patern olan buzlu cam opasitesi (GGO) rBu çalışmada toplam 41 hasta takip edildi. Hastaneden taburcu olduktan sonra kademeli iyileşme, seri BT skorları ile doğrulandı. Hastaların yaklaşık %47’si taburcu olduktan 1 yıl sonra medyan BT skoru 0 (çeyrekler arası aralık (IQR) 0–2) ile pulmoner BT’de rezidüel aberasyon gösterdi ve başlıca retiküler patern olan buzlu cam opasitesi (GGO) radyolojik desen oldu. Rezidüel radyolojik anormallikleri olan hastalar daha yaşlıydı (p = 0.01), sigara içenlerde daha yüksek oran (p = 0.04), hipertansiflerde daha yüksek oran (p = 0.05), daha düşük SaO2 (p = 0.004) ve sekonder bakteriyel enfeksiyon prevalansı daha yüksekti, akut faz sırasında (p = 0.02). Çoklu lojistik regresyon analizleri, yaşın rezidüel radyolojik anormallikler ile ilişkili bir risk faktörü olduğunu gösterdi (OR 1.08, %95 CI 1.01–1.15, p = 0.02). Total akciğer kapasitesi (p = 0.008) ve rezidüel hacim (p < 0.001) rezidüel BT anormallikleri olan hastalarda azalmış ve BT skorları ile negatif korelasyon göstermiştir.
Tartışma
Taburcu olduktan sonraki 1 yıllık takip sırasında, COVID-19’dan kurtulanlar akciğer BT’sinde sürekli iyileşme gösterdi. Bununla birlikte, rezidüel lezyonlar hala gözlemlenebilir ve akciğer hacmi parametreleri ile ilişkilendirilebilir. İlave olarak BT opasiteleri geliştirme riski yaşla birlikte artmış izlendi.

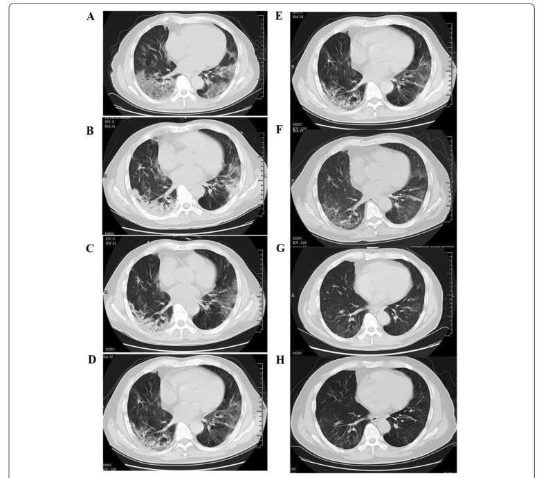
1 Şubat’ta SARS-CoV-2 enfeksiyonu olan, aynı gün hastaneye başvuran ve hastanede yatışı sırasında kortikosteroid ve yüksek akımlı nazal kanül ile oksijen tedavisi verilen hastanın,
A 7. günde elde edilen ve yaygın subplevral GGO’ (buzlu cam opasitesi) yu gösteren bir Tarama.
B Kısmi konsolidasyonlu subplevral GGO’yu gösteren 14. günde elde edilen tarama.
C Hastalığın 21. gününde alınan tarama subplevral GGO ve konsolidasyonun kısmen azaldığını gösteriyor.
D GGO alanlarında gelişen düzensiz lineer opasiteleri gösteren, hastalığın 28. gününde elde edilen tarama.
E Tarama, taburcu olduktan 1 ay sonra (hastalığın 62. günü) düzensiz lineer opasiteler ve subplevral retikülasyon gösteren elde edildi.
F Taburcu olduktan 3 ay sonra (hastalığın 112. günü) alınan subplevral retikülasyon gösteren tarama.
G Taraması taburcu olduktan 6 ay sonra (hastalığın 210. günü) GGO bazında hafif düzensiz lineer opasiteler ve retikülasyon gösteren alanlar elde edilmiştir.
H Tarama, taburcu olduktan 1 yıl sonra (hastalığın 390. günü) ince düzensiz lineer opasiteler ve GGO bazında retikülasyon gösteren tarama.
